Перейти к основному содержанию
Исходная ситуация
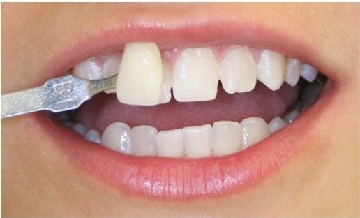
Пациент обратился к нам с жалобой на слишком темный цвет зубов. Было принято решение отбелить зубы с помощью ZOOM White Speed – системы отбеливания зубов последнего поколения от фирмы Philips.

За неделю до отбеливания зубов была проведена профессиональная гигиена полости рта и AirFlow (Эр Флоу).

 
Результат лечения
Сеанс отбеливания длился чуть больше часа. Во время процедуры отбеливания пациент не испытывал никакого дискомфорта, чувствительность зубов не повысилась, так как в новейшей системе отбеливания зубов ZOOM White Speed используется холодный источник света, не перегревающий эмаль зубов и не повреждающий структуру зубов.

Пациент остался очень доволен результатом нашей работы.

 
Специалисты
Отбеливание зубов выполняла Наталья Кобызова, наш профессиональный гигиенист.
До лечения
После лечения