Перейти к основному содержанию

Отбеливание зубов системой последнего поколения ZOOM White Speed

Исходная ситуация:
Пациент обратился к нам с жалобой на слишком темный цвет зубов. Было принято решение отбелить зубы с помощью ZOOM White Speed – системы отбеливания зубов последнего поколения от фирмы Philips.

За неделю до отбеливания зубов была проведена профессиональная гигиена полости рта и AirFlow (Эр Флоу).

 

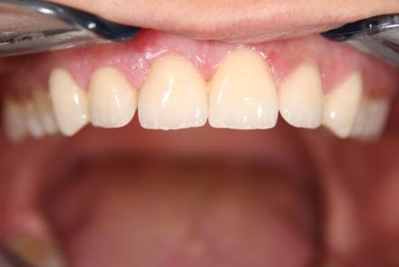
Коронка на основе диоксида циркония на имплант

Исходная ситуация:
Пациенту был установлен имплантат в эстетически важной зоне. Пожеланием пациента было максимальная схожесть коронки с соседними зубами.
Нами было принято решение изготовить циркониевую коронку на имплант.

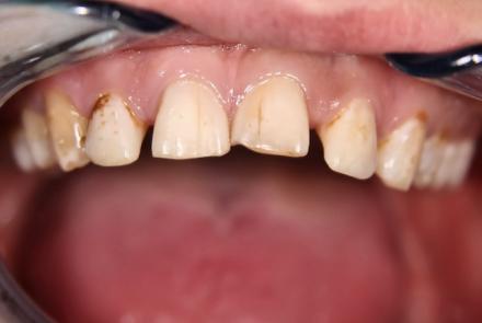
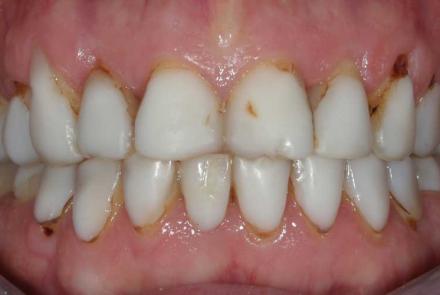
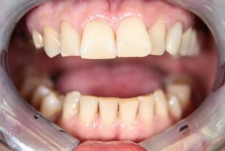
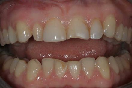
Коронки на основе диоксида циркония в зоне улыбки

Исходная ситуация:
Пациент обратился с жалобой на неудовлетворительную эстетику передних зубов. На консультации было принято решение изготовить коронки на основе диоксида циркония для исправления эстетики зоны улыбки.

Керамические виниры на передние зубы верхней и нижней челюсти

Исходная ситуация:
Пациент обратился с жалобой на неудовлетворительную эстетику передних зубов. На консультации было принято решение изготовить керамические виниры для закрытия изменения формы и положения передних зубов.

Реставрация композитным материалом с применением стекловолоконного штифта

Исходная ситуация:
Пациентка Л., обратилась с жалобой на скол левого бокового резца на верхней челюсти.
Канал зуба был обработан, запломбирован и подготовлен к установки стекловолоконного штифта. Зуб подготовлен для реставрации композитным материалом.

Удлинение слишком коротких зубов с помощью керамических виниров

Исходная ситуация:
Пациентка А. Обратилась с жалобой на неудовлетворительную эстетику улыбки. После изучения некоторых антропометрических параметров лица пациентки выяснилось, что центральным резцам верхней челюсти немного не хватает длины, создается визуальная дисгармония между прямой линией режущих краев верхних фронтальных зубов и прогибающейся вниз линией нижней губы.
Было принято решение "удлинить" центральные верхние резцы с помощью керамических виниров.

Красивая улыбка вместо пломб. Спасибо керамическим винирам!

Исходная ситуация:
Пациентка М. обратилась с жалобой на неудовлетворительную эстетику улыбки. Ранее фронтальные зубы верхней челюсти были неоднократно реставрированы композитным материалом, который со временем потемнел, частично скололся, границы композитных реставраций прокрасились пищевыми красителями и стали видимы.
Было принято решение восстановить эстетику фронтальных зубов верхней челюсти с помощью керамических виниров.

Установка коронок на основе оксида циркония

Исходная ситуация:
Пациентка К. обратилась с жалобой на неудовлетворительную эстетику улыбки.
Ранее фронтальные зубы верхней челюсти были восстановлены с помощью металлокерамического моста (спаянных между собой коронок) от правого до левого клыка. Из-за отсутствия межзубных промежутков десна в области коронок была сдавленна, периодически воспалялась, имела нездоровый темно-красный оттенок. Зубы казались слишком массивными, тяжелыми, не "своими".
Было принято решение заменить металлокерамический мост на отдельные безметалловые коронки на основе оксида циркония.

Установка коронок на основе диоксида циркония

Исходная ситуация:
Пациент В. обратился в нашу клинику с жалобами на неудовлетворительную эстетику передних зубов верхней челюсти. Выявлены сколы режущих краев, неровное положение центральных и боковых резцов, асимметрия размеров передних зубов.
Было принято решение восстановить целостность и эстетику передних четырех зубов коронками на основе диоксида циркония. Мы обсудили с пациентом в присутствии зубного мастер-техника Алексея Васильева все пожелания по будущей форме, структуре, положению и цвету коронок. Далее четыре передних верхних резца были правильно обточены, сняты слепки верхней и нижней челюстей. В работу включилась команда зубных техников нашей зуботехнической лаборатории.

Установка керамических виниров

Исходная ситуация:
Пациентка К. обратилась в клинику СтомАртСтудио Leonardo с жалобами на неудовлетворительную эстетику верхних передних зубов.
При осмотре выяснилось, что передние верхние резцы имеют множество старых композитных пломб, которые со временем изменились в цвете, потеряли блеск, стали матовыми, прокрашенными по периметру.
Было принято решение реставрировать четыре верхних резца с помощью керамических виниров. Пациент рассказала все свои пожелания по форме и цвету будущих керамических виниров. Все пожелания зафиксировались доктором и зубным техником.
В первый визит передние резцы верхней челюсти были подготовлены под керамические виниры, сняты слепки верхней и нижней челюстей, изготовлены временные виниры.
В течение недели зуботехническая лаборатория работала над изготовлением керамических виниров. Готовый результат очень обрадовал пациента.

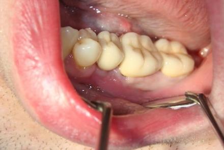
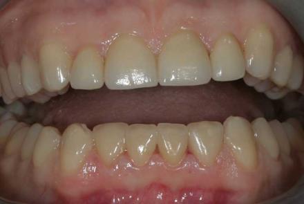
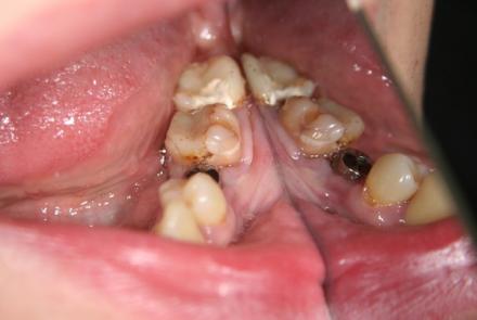
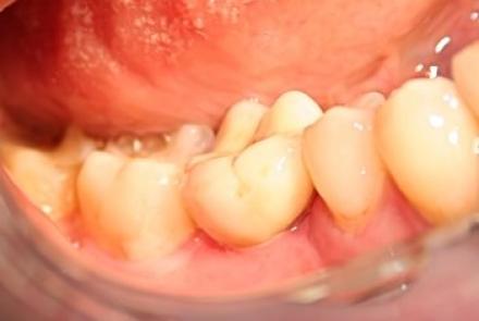
Коронки на основе диоксида циркония на жевательные зубы и на имплантат

Исходная ситуация:
Жевательные зубы на нижней челюсти слева реставрированы огромными пломбами с признаками вторичного кариеса под ними. Отсутствует второй премоляр (на фото виден формирователь десны от имплантата, установленного в первое посещение).
Было принято решение восстановить два последних жевательных зуба с помощью коронок на основе диоксида циркония, а отсутствующий премоляр - с помощью имплантата Nobel Biocare Replace Groovy с последующим изготовлением на него коронки на основе диоксида циркония.
В первое посещение был установлен имплантат Nobel Biocare. Через 2.5 месяца мы установили формирователь десны в имплантат и занялись подготовкой двух последних жевательных зубов под циркониевые коронки, сняли слепки верхней и нижней челюсти.

Коронка на основе диоксида циркония на имплантат Nobel Biocare

Исходная ситуация:
После установки имплантата Nobel Biocare прошло 3 месяца. На имплантат установлен формирователь десны. Далее через 2 недели были сняты слепки для изготовления коронки на основе диоксида циркония в нашей зуботехнической лаборатории "ЭКСКЛЮЗИВ".

В гипсовой модели челюсти пациента установлен аналог имплантата, подобран и индивидуализирован циркониевый абатмент, на который изготовлена коронка на основе диоксида циркония.

Циркониевый абатмент зафиксирован на имплантат в полости рта пациента абсолютно в том же положении, как и на гипсовой модели, что говорит о высочайшей точности всей проделанной работы.
 

Керамические виниры на передние зубы верхней челюсти

Исходная ситуация:
Пациент обратился с жалобой на плохую эстетику верхних передних зубов. На консультации было принято решение изготовить керамические виниры для закрытия щелей между зубами и изменения формы и положения передних зубов.

Комплексная реставрация зубов коронками на основе диоксида циркония

Исходная ситуация:
Пациент обратился с жалобой на плохую эстетику передних зубов, неудовлетворительное состояние зубов в жевательных отделах. На консультации было принято решение о комплексной реставрации всех зубов коронками на основе диоксида циркония. Пациент выбрал самый светлый цвет (В1) и попросил изготовить коронки с легкими "изъянами" для придания натуральности всей работе.