
Слепки для изготовления коронки на основе диоксида циркония в нашей зуботехнической лаборатории "ЭКСКЛЮЗИВ".

Исходная ситуация
После установки имплантата Nobel Biocare прошло 3 месяца. На имплантат установлен формирователь десны. Далее через 2 недели были сняты слепки для изготовления коронки на основе диоксида циркония в нашей зуботехнической лаборатории "ЭКСКЛЮЗИВ".
В гипсовой модели челюсти пациента установлен аналог имплантата, подобран и индивидуализирован циркониевый абатмент, на который изготовлена коронка на основе диоксида циркония.
Циркониевый абатмент зафиксирован на имплантат в полости рта пациента абсолютно в том же положении, как и на гипсовой модели, что говорит о высочайшей точности всей проделанной работы.
В гипсовой модели челюсти пациента установлен аналог имплантата, подобран и индивидуализирован циркониевый абатмент, на который изготовлена коронка на основе диоксида циркония.
Циркониевый абатмент зафиксирован на имплантат в полости рта пациента абсолютно в том же положении, как и на гипсовой модели, что говорит о высочайшей точности всей проделанной работы.
Результат лечения
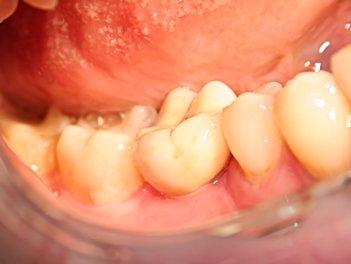
На абатмент зафиксирована циркониевая коронка.
Фотография сделана сразу в день установки. Через несколько дней десна вокруг коронки полностью восстановилась и стала такой же как и около рядом стоящих зубов. Пациент полностью доволен эстетическим и функциональным результатом работы.
Фотография сделана сразу в день установки. Через несколько дней десна вокруг коронки полностью восстановилась и стала такой же как и около рядом стоящих зубов. Пациент полностью доволен эстетическим и функциональным результатом работы.
Специалисты
Ортопедическая и терапевтическая часть: Васильев Леонид Алексеевич
Установка имплантата: Давыдов Александр Александрович
Зуботехническая часть: Васильев Алексей Борисович
Установка имплантата: Давыдов Александр Александрович
Зуботехническая часть: Васильев Алексей Борисович
До лечения
После лечения
work_theme