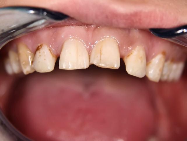
Исходная ситуация
Пациент обратился с жалобой на плохую эстетику верхних передних зубов. На консультации было принято решение изготовить керамические виниры для закрытия щелей между зубами и изменения формы и положения передних зубов.
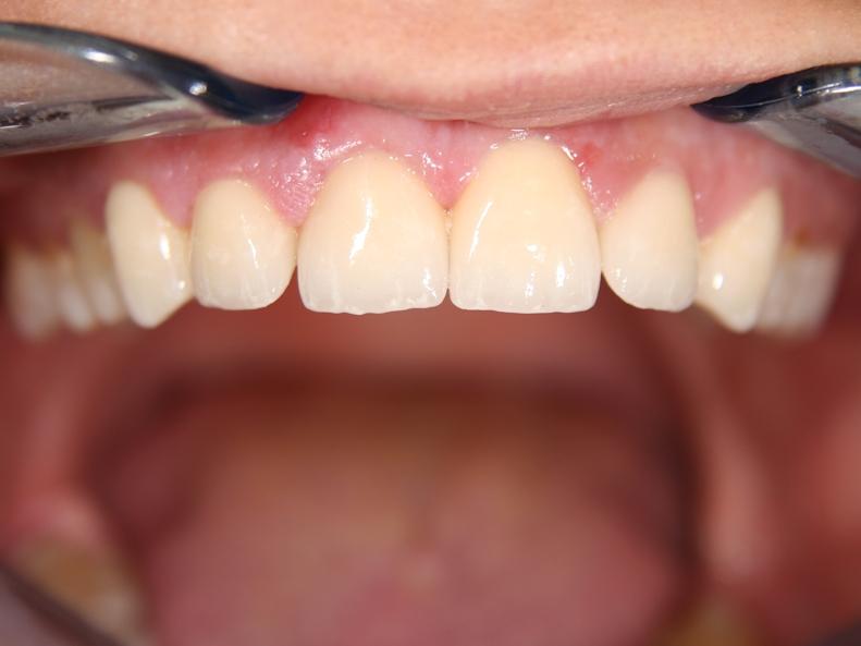
Результат лечения
Готовые керамические виниры зафиксированы на зубы. Результат получился очень натуральным, "живым". Все эстетические проблемы с передними зубами решены. Пациент остался доволен.
Специалисты
Ортопедическая и терапевтическая часть: Васильев Леонид Алексеевич
Зуботехническая часть: Васильев Алексей Борисович
Зуботехническая часть: Васильев Алексей Борисович
До лечения
После лечения