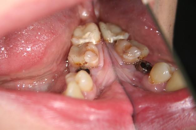
Исходная ситуация
Жевательные зубы на нижней челюсти слева реставрированы огромными пломбами с признаками вторичного кариеса под ними. Отсутствует второй премоляр (на фото виден формирователь десны от имплантата, установленного в первое посещение).
Было принято решение восстановить два последних жевательных зуба с помощью коронок на основе диоксида циркония, а отсутствующий премоляр - с помощью имплантата Nobel Biocare Replace Groovy с последующим изготовлением на него коронки на основе диоксида циркония.
В первое посещение был установлен имплантат Nobel Biocare. Через 2.5 месяца мы установили формирователь десны в имплантат и занялись подготовкой двух последних жевательных зубов под циркониевые коронки, сняли слепки верхней и нижней челюсти.
Было принято решение восстановить два последних жевательных зуба с помощью коронок на основе диоксида циркония, а отсутствующий премоляр - с помощью имплантата Nobel Biocare Replace Groovy с последующим изготовлением на него коронки на основе диоксида циркония.
В первое посещение был установлен имплантат Nobel Biocare. Через 2.5 месяца мы установили формирователь десны в имплантат и занялись подготовкой двух последних жевательных зубов под циркониевые коронки, сняли слепки верхней и нижней челюсти.
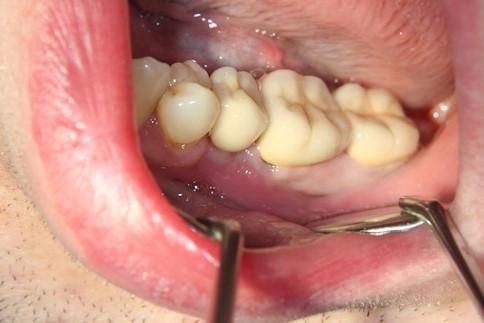
Результат лечения
Через неделю после снятия слепков наша зуботехническая лаборатория изготовила две коронки на основе диоксида циркония на жевательные зубы и одну циркониевую коронку на имплантат. Работа была изготовлена с такой точностью, что не нуждалась в корректировках и была зацементирована сразу в день примерки. Пациент полностью доволен результатом работы.
Специалисты
Ортопедическая и терапевтическая часть: Васильев Леонид Алексеевич
Установка имплантата: Давыдов Александр Александрович
Зуботехническая часть: Васильев Алексей Борисович
Установка имплантата: Давыдов Александр Александрович
Зуботехническая часть: Васильев Алексей Борисович
До лечения
После лечения
work_theme