Эстетическая стоматология призвана помогать пациентам повышать собственную самооценку, обретать уверенность в себе, становиться успешнее и чаще улыбаться.

ГАРМОНИЯ ФОРМ
Форма, размеры и положение зубов должны сочетаться с овалом лица.
ГАРМОНИЯ ЦВЕТА
Цвет зубов должен гармонировать с оттенком кожи и цветом волос.

КЕРАМИЧЕСКИЕ ВИНИРЫ
- Виниры сделаны из высоко-эстетичной керамики Emax.
- Можно изменить форму, цвет и положение передних зубов.
- Долговечный результат.
Цена: от 50.000 р.

ПРЯМЫЕ РЕСТАВРАЦИИ
- Готовый результат за один визит.
- Красиво восстанавливают анатомию зубов.
- Реставрации дефектов нано-композитными материалами.
Цена: от 14.000 р.
ПРОЗРАЧНЫЕ ЭЛАЙНЕРЫ
- Для исправления кривизны зубов.
- Незаметны на зубах.
- Не затрудняют ежедневную гигиену зубов.
- Работают как брекеты.
Цена: от 132.000 р.

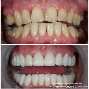
В зоне улыбки пациента на зубах темные пятна, щели, сколы.

Керамические виниры восстановили природную эстетику здоровых зубов.
Наша зуботехническая лаборатория идеально передала прозрачный край эмали, природный контур режущих краев, светлый и, при этом, теплый оттенок "живых" зубов.
Пациент получил именно то, о чем долго мечтал!
Врач: Леонид Васильев
Зуботехническая лаборатория "Эксклюзив"

Кариес на жевательном зубе.

Зуб в процессе очистки от кариеса.

Анатомия зуба идеально восстановлена с помощью светоотверждаемых композитных материалов.
Врач: Ирина Зенина




