Керамические виниры - тонкие накладки на передние зубы, изготовленные из высокоэстетичной керамики Emax в нашей зуботехнической лаборатории.
Мы с успехом применяем самые последние цифровые технологии для создания безупречно красивых улыбок!
Самый распространенный вариант коррекции эстетики улыбки - 6 виниров на верхней челюсти, 6 виниров на нижней челюсти: от клыка по клык сверху и снизу.

ШАГ №1
- Сканирование зубов.
- Фото пациента, улыбки, зубов.
- Запись пожеланий пациента.

ШАГ №2
- Сборка цифрового проекта.
- Цифровая модель будущей улыбки.
- 3Д-Печать моделей.
ШАГ №3
- Перенос дизайна на зубы пациента
- Демонстрация будущего результата
- Внесение корректировок

ШАГ №4
- Изготовление керамических виниров
- Фиксация виниров
- Рекомендации

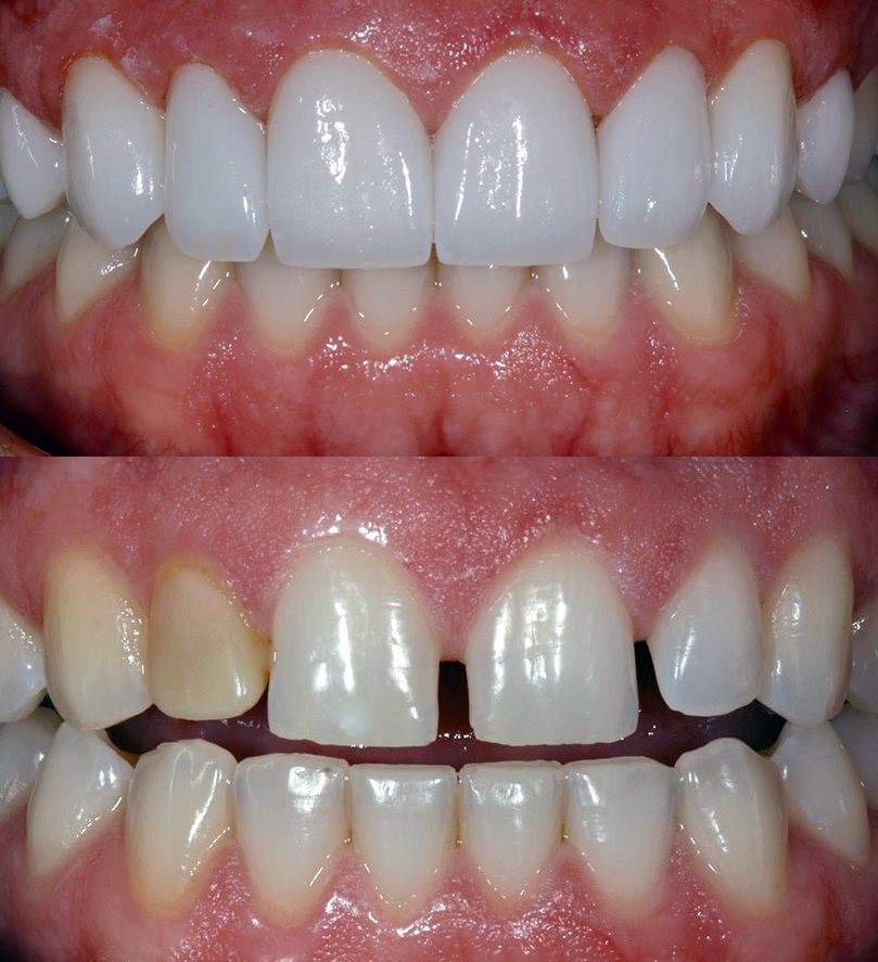
Большие межзубные промежутки, темные пятна на эмали. Все это сильно беспокоило пациента...

Керамические виниры на 6 верхних зубов исправили все эстетические проблемы!
Зубы теперь смотрятся натурально и выглядят как здоровые и ухоженные.
Пациент счастлив!

Зубы в зоне улыбки в неудовлетворительном состоянии. Пациент стесняется улыбаться.

Керамические виниры на верхние и нижние зубы в эстетически важной зоне.
10 виниров сверху и 10 снизу.
Эстетика улыбки восстановлена идеально!
Зубы имеют правильные пропорции и натуральную многослойную структуру.
Пациент полностью доволен результатом!
Врач: Леонид Васильев
- Натуральная красота.
Виниры способны передовать мельчайшие детали: прозрачный край, переходы цветов, зону опалесценции и т.д. - Долговечный результат.
Керамические виниры не меняют свой цвет и форму весь срок службы (более 10-и лет). - Универсальность.
С помощью виниров можно исправить: дефекты эмали, цвет, форму и размеры зубов, а также небольшую кривизну зубов в зоне улыбки.

Для подготовки зубов под керамические виниры мы применяем наш стоматологический микроскоп.
Более подробную информацию о микроскопе можно прочитать тут...

Использования интраорального сканера при планировании керамических виниров делает процедуру значительно комфортнее для пациента.
Более подробную информацию о внутриротовом сканере можно прочитать тут...




