Перейти к основному содержанию
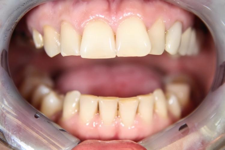
Исходная ситуация
Пациент обратился с жалобой на плохую эстетику передних зубов, неудовлетворительное состояние зубов в жевательных отделах. На консультации было принято решение о комплексной реставрации всех зубов коронками на основе диоксида циркония. Пациент выбрал самый светлый цвет (В1) и попросил изготовить коронки с легкими "изъянами" для придания натуральности всей работе.
Результат лечения
Готовые циркониевые коронки зафиксированы на зубы. На их изготовление понадобилось две недели. Пациент остался очень доволен результатом проделанной работы.
Специалисты
Ортопедическая и терапевтическая часть: Васильев Леонид Алексеевич
Зуботехническая часть: Васильев Алексей Борисович
До лечения
После лечения