Перейти к основному содержанию
Исходная ситуация
Пациенту был установлен имплантат в эстетически важной зоне. Пожеланием пациента было максимальная схожесть коронки с соседними зубами.
Нами было принято решение изготовить циркониевую коронку на имплант.
Результат лечения
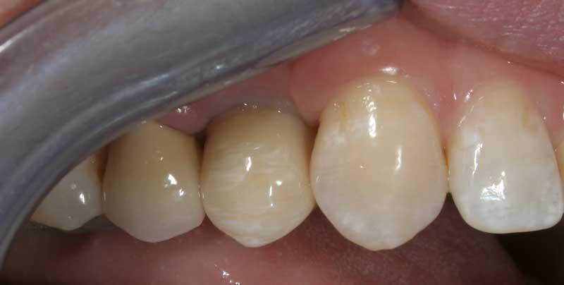
Наша зуботехническая лаборатория изготовила циркониевую коронку с имитацией меловидных пятен и других особенностей структуры и цвета соседних зубов. Все требования пациента к эстетическим параметрам коронки полностью удовлетворены. Пациент остался очень доволен результатом проведенного лечения.
Фотография сделана в день фиксации циркониевой коронки, поэтому десна вокруг нее еще не успела расправиться и приобрести естественный цвет. Спустя несколько дней десна приобрела естественный цвет и форму.
Специалисты
Имплантация, хирургическая часть: Давыдов Александр Александрович
Ортопедическая часть: Васильев Леонид Алексеевич
Зуботехническая часть: Васильев Алексей Борисович
До лечения
После лечения