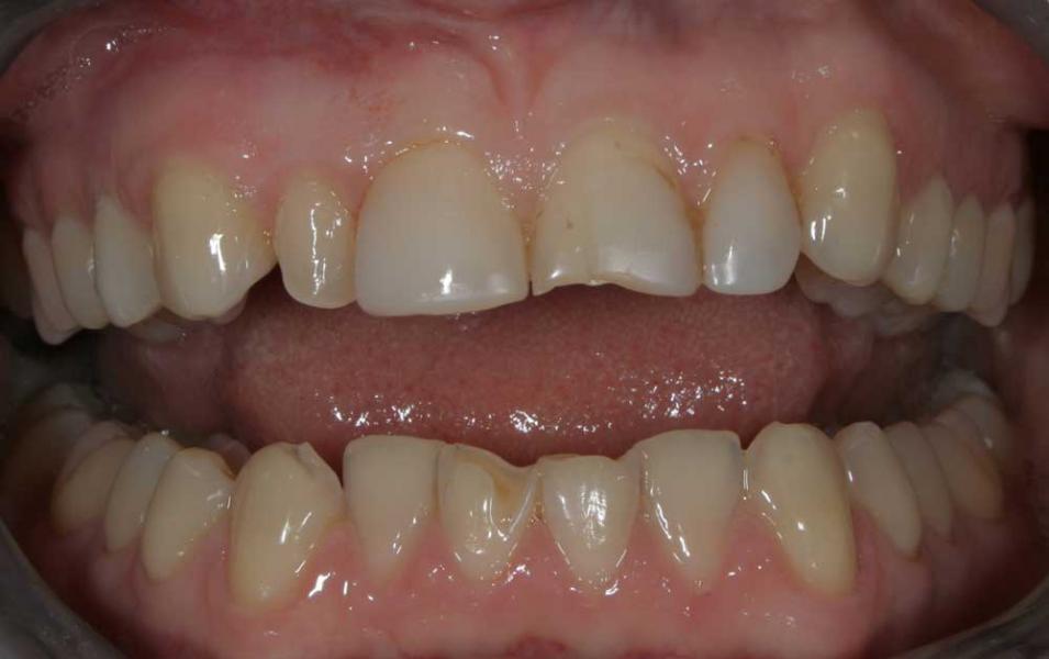
Исходная ситуация
Пациент обратился с жалобой на неудовлетворительную эстетику передних зубов. На консультации было принято решение изготовить керамические виниры для закрытия изменения формы и положения передних зубов.
Результат лечения
Готовые керамические виниры зафиксированы на зубы. Все эстетические проблемы с передними зубами решены. Пациент остался доволен.
Фотография сделана в день фиксации нижних керамических виниров, поэтому десна вокруг них еще не успела расправиться и приобрести естественный цвет. Верхние виниры зафиксированы на несколько дней раньше, десна там уже в абсолютно нормальном и здоровом состоянии.
Фотография сделана в день фиксации нижних керамических виниров, поэтому десна вокруг них еще не успела расправиться и приобрести естественный цвет. Верхние виниры зафиксированы на несколько дней раньше, десна там уже в абсолютно нормальном и здоровом состоянии.
Специалисты
Ортопедическая часть: Васильев Леонид Алексеевич
Зуботехническая часть: Васильев Алексей Борисович
Зуботехническая часть: Васильев Алексей Борисович
До лечения
После лечения