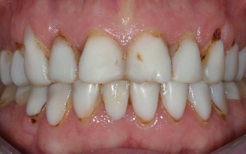
Исходная ситуация
Пациент обратился с жалобой на неудовлетворительную эстетику передних зубов. На консультации было принято решение изготовить коронки на основе диоксида циркония для исправления эстетики зоны улыбки.
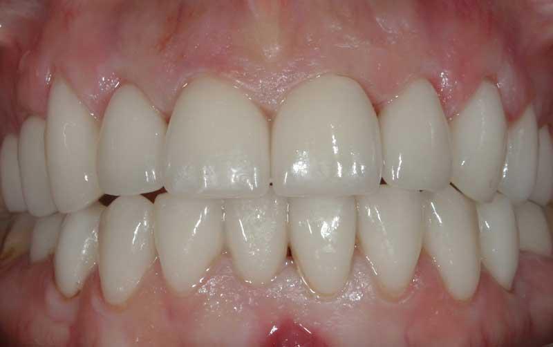
Результат лечения
Готовые циркониевые коронки зафиксированы на зубы. Все эстетические проблемы с передними зубами решены. Пациент остался доволен.
Специалисты
Ортопедическая часть: Васильев Леонид Алексеевич
Зуботехническая часть: Васильев Алексей Борисович
Зуботехническая часть: Васильев Алексей Борисович
До лечения
После лечения