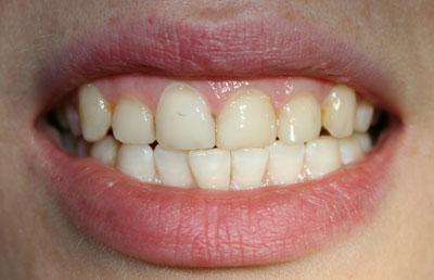
Исходная ситуация
Пациентка М. обратилась с жалобой на неудовлетворительную эстетику улыбки. Ранее фронтальные зубы верхней челюсти были неоднократно реставрированы композитным материалом, который со временем потемнел, частично скололся, границы композитных реставраций прокрасились пищевыми красителями и стали видимы.
Было принято решение восстановить эстетику фронтальных зубов верхней челюсти с помощью керамических виниров.
Было принято решение восстановить эстетику фронтальных зубов верхней челюсти с помощью керамических виниров.
Результат лечения
Результат лечения в день фиксации керамических виниров: цвет, форма и положение зубов верхней челюсти восстановлены с учетом пожелания пациентки.
Специалисты
Ортопедическая и терапевтическая часть: Васильев Леонид Алексеевич
Зуботехническая часть: Васильев Алексей Борисович
Зуботехническая часть: Васильев Алексей Борисович
До лечения
После лечения