Перейти к основному содержанию
  • Комфортное
    выравнивание зубов
    прозрачными капами
  • Отбеливание зубов
    ZOOM 4 White Speed
    Белоснежная улыбка за один визит
  • Отбеливание зубов
    ZOOM 4 White Speed
    Белоснежная улыбка за один визит
  • А Вы довольны
    своей улыбкой?
    Керамические виниры -
    Натуральная красота улыбки!
  • Компьютерная
    томография
    3D 2D изображение за одно сканирование
    Низкая доза рентгеновского излучения

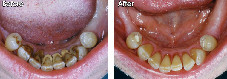
Снятие зубного камняЗубной камень образуется у каждого человека, даже при хорошей домашней гигиене.

Зубной камень кристаллизуется из слюны на зубах, особенно в областях выходов слюнных желез: передние зубы нижней челюсти изнутри и жевательные зубы верхней челюсти со стороны щеки.

Зубной камень образуется не только на поверхности зубов над десной, но также и под десной. Увеличиваясь в объеме, зубной камень давит на десну, пережимая в ней тончайшие кровеносные сосуды. За счет ухудшенного кровоснабжения десне становится сложнее сопротивляться бактериям, обильно населяющим наддесневые и поддесневые пространства. Возникает воспаление десны, возникает ее кровоточивость, оголяются корни зубов, что приводит к их повышенной чувствительности. Если вовремя не снимать зубной камень, то воспаление перекинется на челюстную кость, что приведет к снижению ее уровня вокруг зубов, зубы теряют фиксацию и начинают шататься, что ведет к их потере.Зубной камень

 

 

 

 

 

 

 

 

 

Зубной камень по своей структуре пористый. В этих порах поселяется большое количество микроорганизмов. это приводит к появлению стойкого неприятного запаха изо рта!

Мы рекомендуем регулярно, раз в полгода, проводить комплексную гигиену полости рта, куда входит процедура снятия зубного камня.

Зубной камень снимается двумя способами: ультразвуковой скейлер сбивает основную массу зубного камня, а остатки дочищаются специальными тонкими ручными инструментами.

Процедура снятия зубного камня в большинстве случаев абсолютно безболезненна. В некоторых случаях, при очень чувствительных зубах, мы применяем небольшую анестезию для обеспечения полного комфорта пациента.