Какие технологии применяются для протезирования передних зубов?
Передние зубы находятся в видимой, эстетически-важной зоне: зоне улыбки! Люди с красивой улыбкой больше уверенны в себе, успешны и жизнерадостны, в отличии от людей, чья улыбка не отличается совершенством. Это доказано многими социологическими опросами стран Европы и США!
Улыбка человека образуется тремя составляющими: губы, дёсны и зубы. И именно передние зубы, согласно данным независимых социологических опросов людей в разных странах мира, образуют основную составляющую улыбки – более 80-ти процентов опрошенных людей подтвердили, что в первую очередь взгляд останавливается на зубах. Именно здоровые и красивые передние зубы, и их гармоничное сочетание с десной производят у человека положительное впечатление от улыбки собеседника.

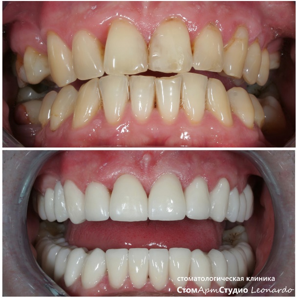
К сожалению, у многих людей эстетика улыбки страдает из-за наличия сколов и старых пломб на передних зубах, потемнений эмали, неправильного положения зубов. Таким людям необходимо эстетическое и функциональное протезирование передних зубов.
Реконструкция переднего отдела зубного ряда требует особых навыков от стоматолога-ортопеда и зубного техника.
Врач-стоматолог должен уметь правильно оценить все антропометрические параметры лица человека и точно разработать тактику реконструкции улыбки, сочетая в ней научные основы с пожеланиями пациента.
Зубной техник должен владеть всеми методами работы с современными материалами, иметь глубокие знания в анатомии и биомеханике зубов.
Только слаженная работа врача и зубного техника могут служить основой для создания качественной, долгосрочной и красивой реконструкции передних зубов.

Керамические виниры
Керамические виниры прекрасно подходят для исправления формы, цвета и положения передних зубов. Они также подходят для закрытия больших межзубных промежутков (трем и диастемы).
Керамический винир – тонкая накладка из нескольких слоев керамики. С помощью специальной адгезивной техники она надежно фиксируется на зубе.
Реставрация с помощью керамических виниров проходит в два этапа. В первый визит врач подготавливает зубы, снимает слепки и изготавливает временные виниры, с которыми пациент ходит до следующего визита, приблизительно неделю. За это время зуботехническая лаборатория изготавливает керамические виниры, учитывая все требования врача и пожелания пациента.
Во второй визит врач оценивает качество изготовленных керамических виниров, примерив хи на зубы пациента. Пациент также оценивает эстетические параметры виниров: цвет, форму и положение. Если врач и пациент полностью удовлетворены качеством и эстетикой, то керамические виниры фиксируются на зубы пациента.
Что важно знать про керамические виниры:
Керамические виниры можно делать только на зубы в зоне улыбки, с 5-ого по 5-й.
Керамические виниры лучше делать парами от центральной линии, два, четыре или шесть виниров.
Керамические виниры можно делать только на «живые» зубы, в которых сохранен нерв. Если канал зуба был ранее лечен, то на него необходимо сделать циркониевую коронку, предварительно укрепив его стекловолоконным штифтом.
Срок службы керамических виниров составляет в среднем от 10-ти до 15-ти лет.
Гарантия на керамический винир в нашей клинике составляет 3 года.
Стоимость одного винира в нашей клинике составляет 50 000 р.
Коронки на основе диоксида циркония (циркониевые коронки)
Коронки на основе диоксида циркония идеально подходят для эстетических и функциональных реставраций передних зубов. В них прекрасно сочетаются эстетические параметры и прочность. Отсутствие металла обеспечивает их глубокую прозрачность, натуральную «живую» эстетику и абсолютную биосовместимость. Циркониевые коронки достаточно прочные, чтобы выдерживать даже огромные жевательные нагрузки, что делает их применимыми как в переднем, так и в жевательном отделе.
Реставрация с помощью коронок на основе диоксида циркония проходит в два этапа. В первый визит врач подготавливает зубы, снимает слепки и изготавливает временные коронки, с которыми пациент ходит до следующего визита, приблизительно полторы недели. За это время зуботехническая лаборатория изготавливает циркониевые коронки методом компьютерного моделирования, точной фрезеровки спланированной формы и последующей облицовки специальной керамикой, учитывая все требования врача и пожелания пациента.
Во второй визит врач оценивает качество изготовленных циркониевых коронок, примерив их на зубы пациента. Пациент также оценивает эстетические параметры виниров: цвет, форму и положение. Если врач и пациент полностью удовлетворены качеством и эстетикой, то коронки на основе диоксида циркония фиксируются на зубы пациента специальным композитным цементом.
Что нужно знать про циркониевые коронки:
- Циркониевые коронки можно изготавливать как на живые зубы, так и на зубы с пролеченными каналами.
- Срок службы коронок на основе диоксида циркония составляет более 15-ти лет.
Операция | Цена |
| Цена циркониевой коронки в нашей клинике составляет | 53 000 руб. |
| Гарантия на циркониевые коронки в нашей клинике | 5 лет |



