Съемное протезирование применяется в стоматологии тогда, когда по разным причинам невозможно восстановить зубной ряд коронками и имплантами. Бюгельные протезы применяются при частичном протезировании. При полном отсутствии зубов может применяться полный съемный протез.
Зубные бюгельные протезы - бюгели (Bugel переводится с немецкого как металлическая дуга, скоба) - являются значительно более совершенной альтернативой простым частичным съемным протезам. Они состоят из металлического каркаса, пластмассовых частей и фиксирующих элементов.
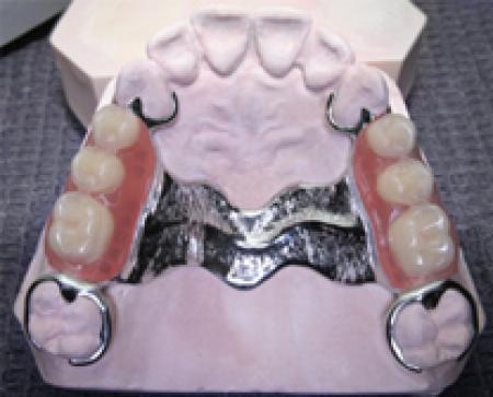
Самый простой и дешевый бюгельный протез. Имеет несколько пружинистых кламмеров (крючков), которыми он "цепляется" за зубы.
Замковые крепления (или аттачмент) бывают разные по своей конструкции. Самый распространенный вид аттачмента - шаровидное замковое крепление.
Телескопические коронки состоят из двух идеально подходящих друг к другу частей: первичного и вторичного телескопов.
|
Операция |
Цена |
|
Бюгельный протез на кламмерах |
75 000 руб. |
|
Бюгельный протез на микрозамках |
95 000 руб. |
|
Полный съемный акриловый протез |
70 000 руб. |
|
Частичный съемный акриловый протез |
50 000 руб. |
|
Полный съемный протез АкриФри |
80 000 руб. |
|
Частичный съемный протез АкриФри, до 3-х зубов |
50 000 руб. |
|
Частичный съемный протез АкриФри, от 4-х зубов |
70 000 руб. |
Самый простой шаг к восстановлению зубов (и, соответственно, самый дешевый) - бюгельный протез на кламмерах. Он имеет несколько пружинистых кламмеров (крючков), которыми он "цепляется" за зубы. Такие бюгельные протезы зубов выполняют требования по функциональной части - пережевыванию пищи, но эстетические качества оставляют желать лучшего: при разговоре и улыбке Ваш собеседник не сможет не заметить металлических "крючков" на зубах на Ваших зубах. Также, при постоянном снятии и одевании протеза "крючки" травмируют зубную эмаль, зубы становятся чувствительными. Нарушается и гигиена полости рта, так как частички пищи задерживаются кламмерами.
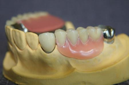
Существует несколько альтернативных видов фиксации бюгельного протеза, отвечающих высоким эстетическим требованиям пациентов: замки (бюгельные протезы на замках) и телескопические коронки. В стоматологии бюгельные протезы на замках, с фиксацией на зубных имплантах или телескопическими коронками называются комбинированными протезами, так как состоят из съемной части (непосредственно сам протез) и несъемных частей, которые надежно фиксируются на зубах на цемент или на импланты с помощью специальных винтов.
Замковые крепления (или аттачмент) бывают разные по своей конструкции, каждый вид имеет свои показания и противопоказания.
Самый распространенный вид аттачмента - шаровидное замковое крепление.
Такой аттачмент состоит из двух частей: металлического шарика (патрица), который прикреплен к коронке, и ответной пластмассовой части (матрица), которая фиксируется в протезе.
Коронки фиксируются на зубах на постоянный цемент и являются несъемной частью комбинированного протеза.
В момент одевания протеза пластмассовая матрица обхватывает металлический шарик на коронке. Таким образом бюгельные протезы зубов "защелкиваются" и надежно удерживаются на своем месте.
Другой вид комбинированных протезов имеет в качестве фиксирующих элементов телескопические коронки, которые состоят из двух идеально подходящих друг к другу частей: первичного и вторичного телескопов. Первичный телескоп цементируется на зубе, а вторичный телескоп крепится в самом протезе. В момент одевания зубного бюгельного протеза первичный телескоп входит во вторичный, надежная фиксация обеспечивается силой трения, возникающей между стенками телескопов, так как они идеально подходят друг к другу. Такой вид протезирования показан в том случае, если на челюсти осталось мало зубов. Жевательная нагрузка равномерно распределяется по всей челюсти, оставшиеся зубы не перегружаются и не расшатываются.
Также хорошо использовать телескопические коронки при явлении пародонтита, когда уже имеется небольшая подвижность зубов, и их прогноз на будущее не благоприятный. В этом случае телескопические коронки изготавливаются на максимально возможное количество зубов. Так как жевательная нагрузка равномерно распределяется по всему зубному ряду, срок "службы" подвижных зубов значительно продлевается. В будущем, при необходимости удаления какого-то зуба, протез продолжает держаться на оставшихся телескопических коронках.
Разумеется, первые дни ношения съемного протеза связаны с определенным дискомфортом для пациента, так как во рту появился "новый предмет". Немного нарушается дикция (особенно произнесение букв "С", "З", "Ж", "Ш", "Щ"). Но все это временно. За несколько дней пациент привыкает к протезу, язык адаптируется к наличию во рту "нового предмета" и дикция восстанавливается.
Бюгельные протезы зубов требуют определенного постоянного ухода. Необходимо чистить наружные и внутренние поверхности два-три раза в день после приема пищи.



