Мы ставим все импланты исключительно по точным хирургическим шаблонам.
Шаблон обеспечивает точность, безопасность и скорость операции.
На установку одного импланта нам нужно всего 15 минут!
|
Операция |
Цена |
|
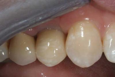
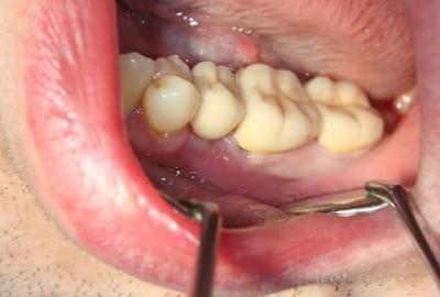
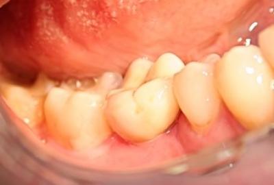
Установка импланта AnyRidge (пожизненная гарантия на имплантат) |
от 72 000 руб. |
|
Установка формирователя десны |
от 11 000 руб. |
|
Точный навигационный шаблон для имплантации |
от 17 000 руб.
|
|
Коронка на имплантат |
от 55 000 руб. |
Подготовка к операции по установке имплантов занимает 2-3 дня.

ШАГ №1
- Консультация.
- Получение цифровых слепков зубов с помощью внутриротового сканера.
- Компьютерная томография челюстно-лицевой области.
- Составление прозрачного плана лечения с окончательной стоимостью процедур.

ШАГ №2
- Цифровое планирование имплантации в специальном программном комплексе.
- Виртуальное размещение имплантов.
- Создание точного навигационного шаблона для установки имплантов в запланированных позициях.
- Моделирование временных коронок на импланты для немедленной нагрузки в день имплантации.

ШАГ №3
- Печать хирургического шаблона на 3Д-принтере из биосовместимых полимеров.
- Стерилизация хирургического шаблона.
- 3Д-печать или CAD/CAM-фрезеровка временных коронок.

ШАГ №4
- Установка имплантов по хирургическому шаблону.
- Фиксация временных коронок.
- Составление индивидуальных рекомендаций для пациента.
Далее необходимо дождаться полного приживления имплантов: через 2-4 месяца после их установки можно приступать к изготовлению постоянных коронок.
Коронки на импланты мы устанавливаем за два визита с промежутком 1.5 - 2 недели.

ШАГ №1
- Получение цифровых слепков с помощью интраорального сканера.
- Обсуждение с пациентом его пожеланий касаемо формы и цвета будущих коронок.

ШАГ №2
- Винтовая чистая фиксация готовых коронок к имплантам.
- Рекомендации для пациента по правильному уходу за коронками на имплантах.
Имплантация зубов относится к дорогостоящим видам лечения, поэтому, согласно Постановлению Правительства России, Вы можете получить возврат НДФЛ (подоходного налога) за имплантацию зубов с полной суммы потраченных средств. Например, если Вы заплатили за зубопротезирование 100 тыс. руб., то можете вернуть 13% от этой суммы – 13 тыс. руб., но не более суммы, перечисленной в бюджет налогоплательщиком. Кроме того, Вы можете воспользоваться правом на получение социального налогового вычета не только за себя, но и за ближайших родственников: супруга (или супругу); родителей; детей, имеющих возраст до 18 лет, включая усыновленных. Получить налоговый вычет можно, если в том году, в котором производилось лечение, вы получали доход по ставке 13%.Вернуть подоходный налог можно в течение трех лет с того момента, когда произведены затраты. Остаток вычета перенести на следующий год нельзя. Мы имеем необходимую лицензию на осуществление медицинской деятельности, выданную в соответствии с законодательством Российской Федерации, и заключаем договор с указанием кода типа услуги, необходимого для налоговой инспекции.




